索比光伏网讯:硅片作为晶体硅太阳能电池的基础材料,其质量对太阳能电池性能具有很重要的影响。一方面,硅片的内部缺陷和杂质会直接影响太阳能电池的效率和稳定性;另一方面,硅片的外观缺陷和表面质量对太阳能电池的制造和外观等也具有很重要的影响。
一、组件EL和电性能测试
通过对大量低效太阳能电池片及光伏组件进行研究,某低效太阳能电池片做成的光伏组件其EL测试如图1所示。光伏组件的电池片中存在着大量黑心和黑斑的情况。

图1光伏组件EL测试
电致发光EL(Electroluminescence)照片中黑心和黑斑反映的是在通电情况下该部分发出的1150nm红外光相对弱,故在EL相片中显示为黑心和黑斑,发光现象和硅衬底少数载流子寿命有关。由此可见,黑心和黑斑处硅衬底少数载流子寿命明显偏低。
光伏组件电性能测试如图所示,由图所示,光伏组件短路电流Isc(4.588A)和最大功率Pmax(143.028W)明显偏低;此类正常光伏组件短路电流Isc一般为5.2A,最大功率Pmax一般为175W以上。说明组件中存在这大量低效太阳能电池片,导致光伏组件功率的严重下降。

图2光照条件光伏组件电性能测试

图3电池片EL测试黑心和黑斑现象
二、硅片少子寿命测试
太阳能电池经过去SiN膜、去正反电极、去铝背场和n型层,再经碘酒钝化后,硅片少子寿命测试如下图所示:

图4电池片EL测试黑心和黑斑区域少子寿命明显偏低
三、硅片位错密度
硅片经化学腐蚀后,其形貌如下图所示:

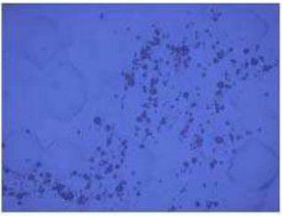
硅片“黑心内”位错密度均最高达1E6-1E7个/cm2左右‘另一硅片,EL测试黑斑区域位错密度大1E5-1E6个/cm2左右,如下图所示:

图6“黑心内”位错密度1E6-1E7(X500倍)

图7其他硅片的位错密度1E5-1E6(X500倍)
综上所示,正是由于硅片中存在这极高的位错密度,成为少数载流子的强复合中心,最终导致太阳能电池性能的严重下降。(作者张光春)
相关新闻:单晶硅片质量对光伏电池性能的影响
索比光伏网 https://news.solarbe.com/201205/02/256549.html

